※手術の写真を掲載しておりますので、
苦手な方はご注意ください。
今回紹介するのは、主訴(症状の訴え)とは全然違うことから、大きな病気が見つかったわんちゃんのお話です。
ふらつきと前足がうまく地面につかず転びそうになるという症状で、ワンちゃんが来院しました。比較的高齢(14歳)のフレンチブルドッグの男の子で、犬種や年齢から、脳神経の症状を疑ってMRI検査のお話などをさせていただき、脳を詳細に検査しましょうということになりました。
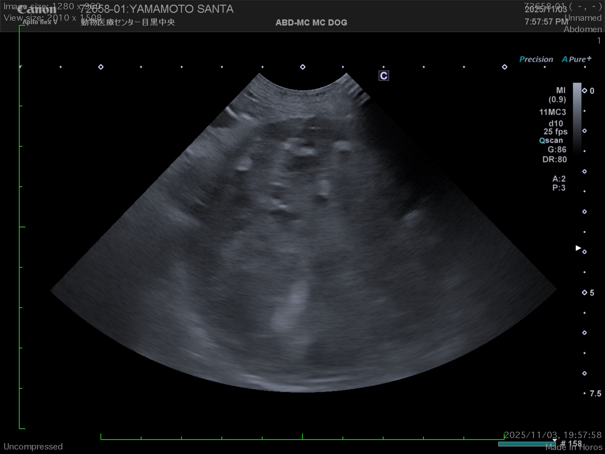
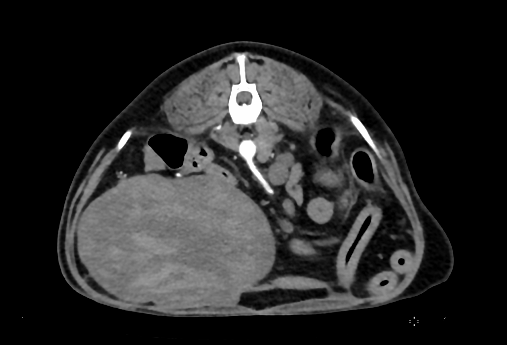
そしてその麻酔前検査(MRIは麻酔が必要となります)をしたところ、X線(レントゲン)検査にてお腹の中に巨大な腫瘍があることがわかりました。
緊急で詳細な検査を実施したところ、腫瘍はおそらく脾臓を起源としているだろうこと、また心臓にも腫瘍があることが残念ながら診断されました。
通常であれば、14歳のわんちゃんに手術を勧めることはあまりないのですが、今回の脾臓の腫瘍が破裂すると突然死を起こすこと(6~8cmもありました)、心臓の腫瘍が脾臓の腫瘍の転移ではなく別物の腫瘍であること(こちらは比較的進行がゆっくりな腫瘍と診断されました。)から、急遽CTにて全身の転移などがないことを確認し、開腹手術にて脾臓を摘出しました。




脾臓は、やはりがん(悪性の腫瘍)でした。しかし摘出状態は良好ということで、現状では転移もなく、術前に認められたふらつきや貧血の症状は全て改善して、術前より元気になってくれたそうです。 このように腫瘍はあまり症状を出さないうちに、徐々に大型化し突然悪くなることがあります。年齢がある程度高齢となっているわんちゃんは定期的な健康診断やDog doc(ドッグドック)Cat doc(キャットドック)をお勧めいたします。 学芸大学駅から近く、高度な画像診断設備を整えている当院に是非一度ご相談ください 井口和人

