※手術の写真を掲載しておりますので、
苦手な方はご注意ください。
今回ご紹介するのは、ワンちゃんに多い生まれつきの病気です。こちらの病気は心臓病のため、発見治療が遅くなると亡くなる可能性もある非常に重篤な疾患です。
動脈管開存症という病気、あまり耳慣れない病気だと思います。生まれつきの心臓病で放っておいた場合の1年間での生存率が半分を切るような怖い病気です。こちらの病気は、お母さんのお腹の中にいた時には、大事な役割をしていた動脈管という大きな血管が本来なら出生後、閉じて消えていくのですが、出生後も血管が残ったままになる病気です。
動脈管は、お母さんの胎盤から臍のを通ってきた新鮮な血液を、赤ちゃんの肺を通さず(羊水の中なので肺は膨らみません)に全身に直接送るのに使われている血管です。生まれて肺が膨らむと血圧の変化から血液が流れにくくなり閉じていくのですが、もしこれが残ったままになるとどうなるのかというと、、、
大動脈から全身に送り出される血液の何割かが肺に流れ込んでしまう事態がおきます。すると、全身は血液不足で疲れやすく、肺は異常な量の血液が流れ込むので、鬱血という血液が大渋滞を起こすような状態になります。
酷くなると肺に水が溜まる肺水腫という左心不全症状が出現します。これは陸にいながら溺れているほど苦しい状態と言われております。


動脈管開存症は、聴診で診断がつく病気でもあります。なので身体検査で聴診してもらえれば、助けることができます。
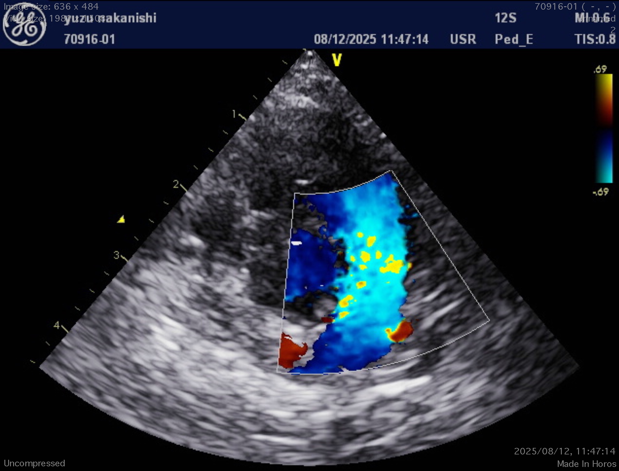
手術の方法や、手術可能かどうかまた現在の治療をどうするかなどことを知るため、超音波(エコー)検査を実施し確定診断します。
今回は体重がなんと600gと小さいため通常の動物病院では手術はおろか、「開胸」するという大掛かりでリスクの高い手術はほとんどできないと思います。しかし当グループには、体重が小さくても麻酔ができる麻酔の専門家、600g以下でも開胸ができるスペシャルなテクニックを持ったドクターが在籍しており、一般的な動脈管の手術死亡率5〜10%と言われる難易度の手術ですが、現在死亡率0%を維持できております。
無事手術は終わり、今では元気になって苦しかった症状は全く出ない状況になりました。これからは幸せな犬生が待っていることでしょう。
当グループでは、「開胸」せずに手術可能なカテーテル治療も実施する設備と技術があります。今回は体重600gですでに症状があるため、体格が大きくならないと実施できないカテーテルは選べない状況でしたが、1.6kg以上あるわんちゃんであれば、カテーテルでの治療も可能です。
生まれつきの心臓の病気を診断されたら、諦める前にまずは当院へご来院ください!
文責:井口和人



