※手術の写真を掲載しておりますので、
苦手な方はご注意ください。
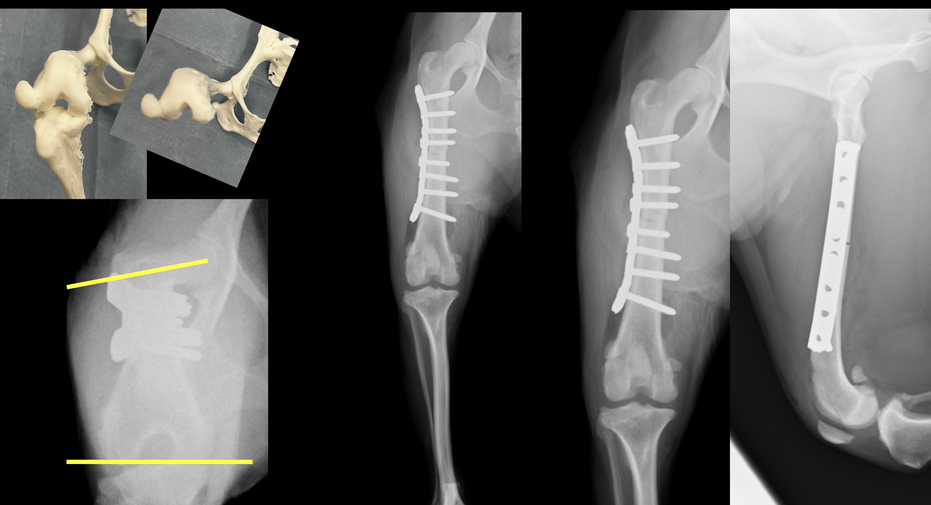
膝蓋骨外方脱臼(LPL)は小型犬では少なく、全体の10%以下と言われています。また、犬のLPLの治療は特に大型犬では成功率は非常に低いという報告があります。一方で、小型犬でのLPLの治療に滑車溝形成術、脛骨粗面転移術、軟部組織の手術を行なったところ、治癒率は高かったという報告もあります。現在のところ、小型犬膝蓋骨外方脱臼に対する報告は少なく、その治療方法は個々の獣医師の裁量に委ねられているところがあります。今回、小型犬の両側膝蓋骨外方脱臼(LPL)に対して、大腿骨前捻角矯正を行なったところ、治療が奏功した1例を紹介します。 症例はスピッツ、避妊雌、5歳1ヶ月齢、6.8kgです。既往歴は保護犬のため不明です。両後肢ともに曲がってしまっており、歩き方がおかしく、段差を降りることができないという主訴で来院されました。










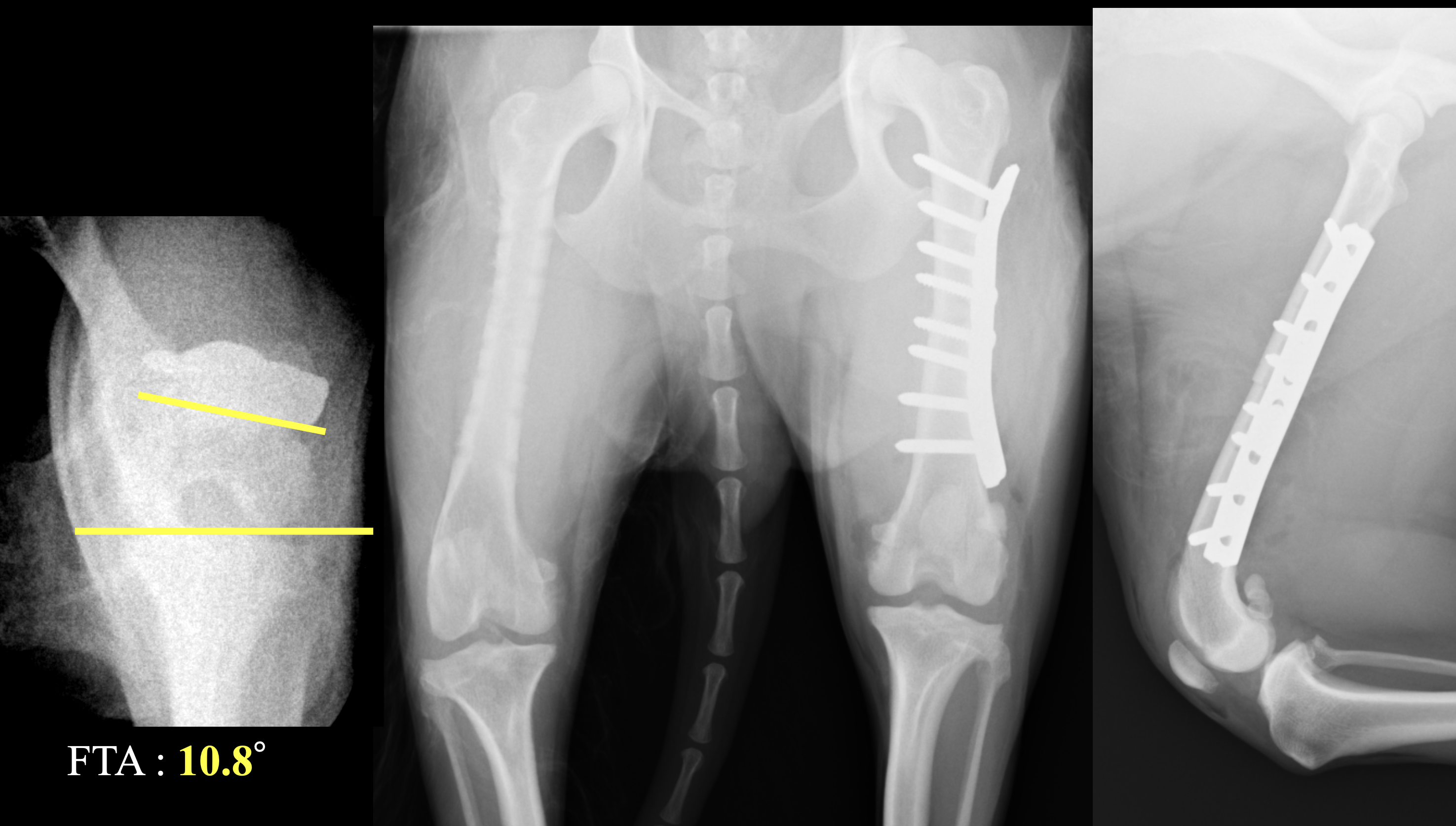
今回前捻角を矯正したことでLPLは正常な位置に固定され、順調な経過を経ることができました。まだLPLに関しては情報が少なく、ベストな治療法が確立されていませんが、CT検査などにより本人の状態を正しく理解し異常を検出することが重要であると考えます。MPLと異なる病態であることを理解して治療にあたることも重要です。
執筆担当:獣医師 磯野
動物医療センター目黒中央トップページ
東京都目黒区鷹番1-1-20
TEL:03-6412-8303