※手術の写真を掲載しておりますので、
苦手な方はご注意ください。
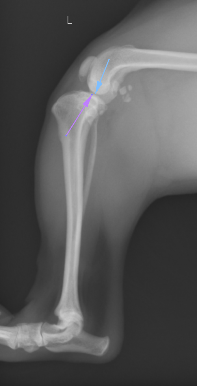
前十字靭帯は膝にある重要な靭帯で、犬における最も一般的な損傷の1つと言われており、膝関節の変形性関節疾患の主な原因です。靭帯の損傷には、重度な不安定性を伴う完全断裂の場合と、軽度の不安定性を伴う不完全(部分)断裂の場合があります。いずれにしても無処置の場合には数週間で変形性関節疾患の症状を呈し、数力月で重度な変化を示します。前十字靭帯断裂を伴う犬の30~40%において、対側の靭帯も2年以内に断裂することが知られ ています。 膝蓋骨内方脱臼と前十字靭帯断裂の併発はトイ種の大に比較的多く認められます。これらの症例において膝蓋骨内方脱臼は初期条件で、前十字靭帯断裂は膝蓋骨が脱臼し、膝関節と脛骨が不安定になり、前十字靭帯が伸びたために生じた可能性が高いと言われています。 前十字靭帯の治療法には大きく分けて内科治療か外科治療に分かれます。内科治療にはバンテージや薬による鎮痛、サポーターなどが挙げられますが、その治療効果は限定的です。特に体重が大きくなるほど内科的治療は困難となります。 外科治療には以前から実施されてきた関節外制動術(Flo法など)や機能的安定化術(TPLOなど)がありますが、現在ではTPLOという術式が最も成績が良く、合併症も少ないということで多く実施されています。その成績は元の運動を100としたときに、ほぼ100まで戻すことができるのがTPLO、Flo法が80%程度、TTAという手術が80-90%程度と報告されています。

TPLOは脛骨高平部という部分を水平にする術式ですが、その優れた点として、骨を円形に切断することで、関節の回転中心を変化させない、骨に伝わる重心を変化させないというものが挙げられます。前十字靭帯が切れてしまうとTPAという脛骨高平部の角度があるが故に脛骨が前方に進んでいこうとします。これを脛骨前方運動=CrTTと言います。斜めの椅子に腰掛けると椅子が後ろにすすむのをイメージするとわかりやすいかと思います。TPAを水平にすることで、前十字靭帯が断裂していてもCrTTが生まれない足にしてしまうというのがTPLOになります。



治療には特殊なTPLOソーという丸い鋸で骨を切断して回転させ、TPAを5度に近づけることでCrTTをなくすTPLO法というものを行います。これにより、前十字靭帯がなくても歩行可能となります。最小で1kg代の子から、大きい子だと70kg代の子まで対応が可能です。





術後早いと次の日には歩くことが可能ですので、早期退院が望めます。手術の痛みはあるので、数日の入院をおすすめはしていますが、入院が難しいこの場合には早期退院をするケースもあります。
執筆担当:獣医師 磯野
動物医療センター目黒中央トップページ
東京都目黒区鷹番1-1-20
TEL:03-6412-8303