※手術の写真を掲載しておりますので、
苦手な方はご注意ください。
寒くなってくると増える病気として、膀胱結石などが上がります。夏場に比べて飲水量が減少することなどが理由として考えられます。
一見膀胱結石と聞くと命に関わるような病気に感じないかもしれません。
尿路結石ですが、実は膀胱だけではなく腎臓、尿管、尿道など尿路のどこにでも発生します。中でも尿管、尿道の細い管の中にできてしまった場合には尿路閉塞という怖い状況を作ります。尿路閉塞は、その通りおしっこが出せなくなってしまう病態で、尿路が詰まり尿が出なくなった場合、排尿できない苦しみももちろんですが、急性の腎臓病を起こし急死する可能性が出てきます。
尿道の閉塞は、カテーテルを使用して石を膀胱の中に戻したりすることができるため、何度もトイレに行くけどおしっこが出ていないなどの症状が出ていても、病院に行くとなんとかなることが多いです。その後膀胱切開などの手術で石を取り除き、再発防止の治療を受けます。
しかし今回紹介する尿管結石は初期の症状に気が付かない場合、腎臓が大きなダメージを受けたり、完全な閉塞を起こした場合には急性腎障害を起こし死亡することがあります。
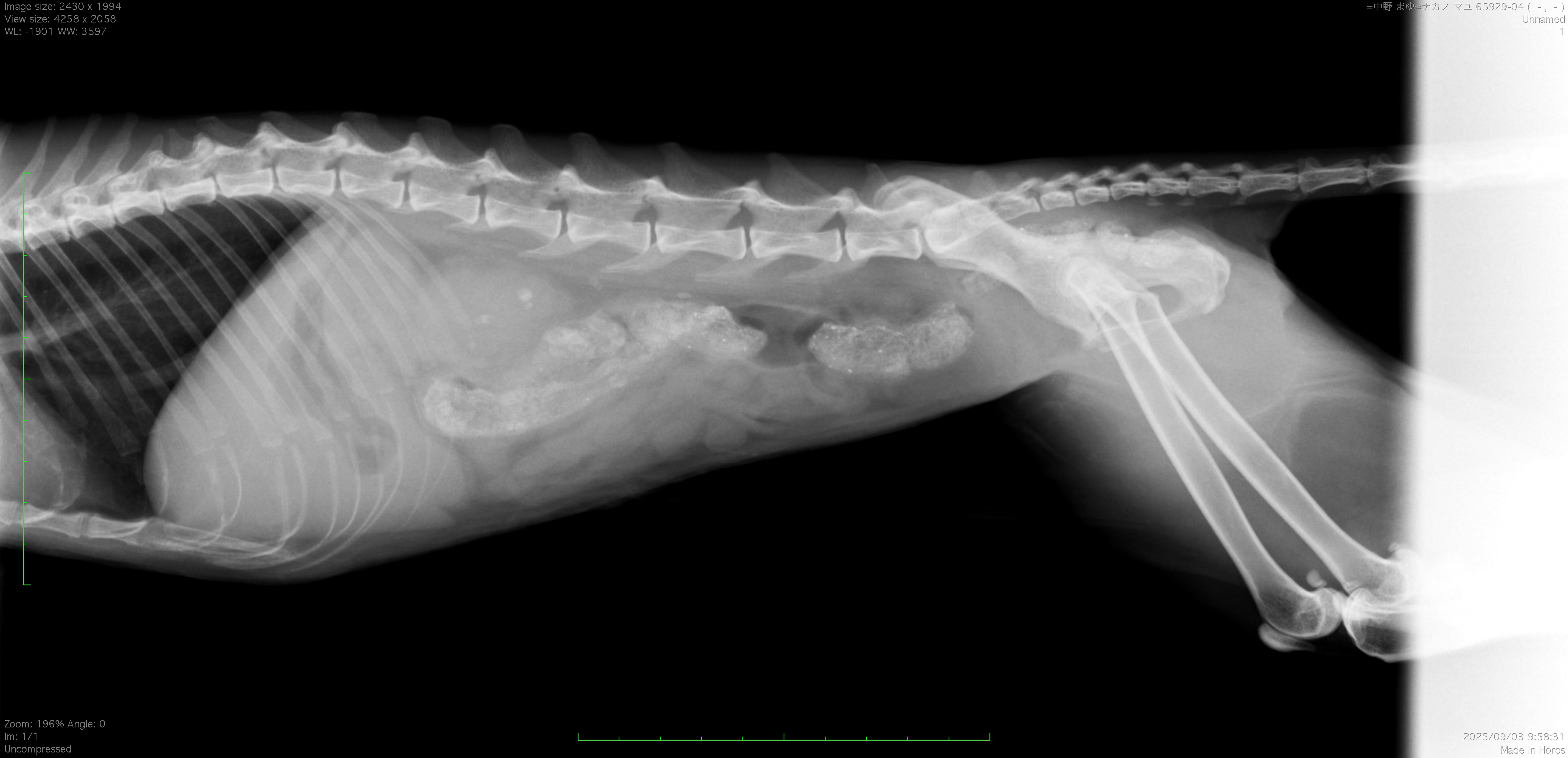
猫ちゃんが突然調子を崩し、元気食欲低下、嘔吐などの症状で来院。検査を実施したところ右の尿管に結石が閉塞しておりました。
尿管結石はX線で存在が特定でき、エコーにて詳しい位置を調べられます。しかしX線に写りにくい結石は見落としますし、エコーでは結石がないと診断するのが難しい場合があります(石が非常に小さい場合)。そこで当院では、その後の手術計画のためにも必要となるのですが、CT撮影を実施することで結石がどの位置にあるのか、一つだけなのか複数なのか、詰まった場所はどこのあたりか、などを特定し治療を実施していきます。

尿管結石は約2mm程度でしたが、そんなに小さな石であっても猫の細い尿管の内径(1mm程度の時もある)のため、閉塞するには十分な大きさです。結石の閉塞が認められ、CTでも尿が出ない状況が確認されたため、手術にて結石の摘出を実施しております。
摘出を実施したのちは尿もどんどん出るようになり、数日後には腎臓数値も改善して退院の運びとなりました。
症状がない状況でも実は石が詰まって片方の腎臓がダメになってしまっているケースもあったりします。調子を崩してからでは手遅れとなります。早めの相談が命を救いますので、健康診断をする際はX線、超音波などの画像診断を併せてやっていくようにしましょう!

