※手術の写真を掲載しておりますので、
苦手な方はご注意ください。
今回もまた前回の症例紹介でお話しした僧帽弁閉鎖不全症についてです。
僧帽弁閉鎖不全症は、ステージが進行すると肺水腫というとても苦しい症状が出現する状態に陥ります。苦しさとしては溺れているように苦しいと表現されるほど、辛い症状となってしまいます。また肺水腫が出現するとstageはC以上と判定され、場合によっては最も重度なstageDと評価される場合もあります。stageC以上のわんちゃんは、残念ながら長生きできず、ある論文による研究では270日前後(1年以内)で亡くなってしまうということも言われております。
特に急性に症状が出現してしまった、比較的年齢が若いわんちゃんに関しては当院では手術による僧帽弁の治療も選択することができます。

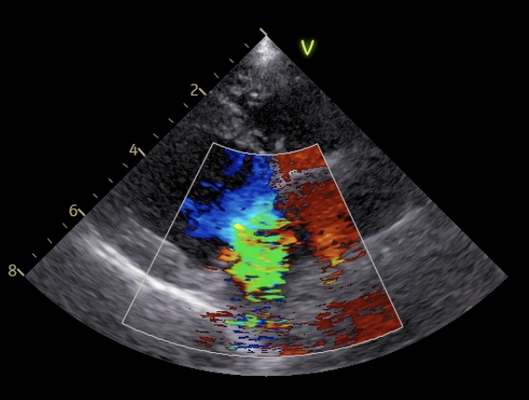
僧帽弁閉鎖不全では、弁の腱索という紐状の部分が断裂し、急激な悪化を示す場合が多く、肺水腫を呈している症例の大部分は腱索断裂を起こしております。また心臓は逆流により拡大しているため、弁と弁の間が拡張し広がっているため、弁が接合する面積が減少しておりより逆流しやすい状況となっています。
心臓の手術では、この腱索した断裂を修復する腱索再建術と、広がった心臓の弁の周辺を糸を使って縫い縮める弁輪縫縮術の二つを組み合わせて治療を行っています。
腱索再検手術は、千切れた腱索をゴアテックスという糸を使用して、弁の修復を実施します。



弁輪縫縮手術は、心不全により拡大してしまった心臓の弁の付け根(弁輪)を、縫縮めることで元に近い位置に戻してあげる手術になります。
弁輪が縮むことで、僧帽弁の接合する面積が増え、逆流が減ります。
心臓の手術がうまく行くと、僧帽弁逆流はほとんどなくなり、心拡大は良化し苦しかった肺水腫の症状は消失します。逆流がほとんどなくなった場合にはこれまで飲んでいた沢山の薬は必要なくなる場合が多いです。(100%ではございません。)
しかし一方で、心臓を一度停止させて手術を実施するため色々な合併症が起きることもあり、全ての命が助かるわけではありません。そういったリスクを乗り越えて退院したわんちゃんたちは、元気になり苦しんでいた咳も消失しその後の人生が豊かなものになると考えます。
心臓病は全て手術で治すわけではなく、現在は内科の治療が第一選択であり、手術が必要かどうかはよく見極めないといけません。退院して「以前よりずっと元気になりました!」「咳もなくなり、とても楽そうにしている」など喜びの声を聞くと手術やって良かったなと思える瞬間となります。
心臓病と診断されたら一度相談いただけると幸いです。ウチの子にあった最善の治療を提案できればと思います。


執筆担当:獣医師 井口
動物医療センター目黒中央トップページ
東京都目黒区鷹番1-1-20
TEL:03-6412-8303