※手術の写真を掲載しておりますので、
苦手な方はご注意ください。
本日紹介するのは胸腺腫という胸の中、胸腔という空間に発生する腫瘍(がん)のお話になります。
胸の中の腫瘍は、はっきり言ってなかなか見つかりません。症状が出る頃には巨大な腫瘍となっていたり、すでに転移という腫瘍の子供をたくさん作ってしまった状況で、手遅れの状態。手術では太刀打ちできない状況だったりします。しかし、健康診断などで偶然発見されると治療して治すことができる可能性がある腫瘍の一つです。
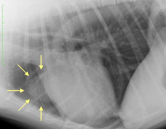
今回は大型犬、ゴールデンレトリバーのワンちゃんの胸の中に腫瘍が発見されてしまいました。他の症状にてX線撮影をしたところ偶然に写り込んできた腫瘍。胸の中なので、通常の病院ではなかなか手術を実施することもできないため、当院へ紹介されて来院しました。
X線では紹介された病院と同じ部位に腫瘍、しかも少し大きくなっておりました。そこでまずはCTの検査を実施し、胸腔(胸の中)のどの位置のどの臓器の腫瘍なのか?を検査で特定します(他にも肺癌、心臓腫瘍、リンパ節の腫瘍など種類はいくつかあります)


心臓と僅かに接してしまっていますが、十分に取れると判断し、手術を提示しました。通常では、開胸手術という手法を使って、胸骨などを切開し、胸を大きく切り開いて、腫瘍を切除します。この手術だけでもできる施設は限られるかもしれません。しかし開胸手術は痛みが非常に強いという欠点があります。
そこで今回飼い主さんの同意もあり、体格が大きい子(32kg)ということもあったため、体への負担が少ない(低侵襲手術)胸腔鏡手術での腫瘍摘出を実施いたしました。
胸腔鏡手術は開胸手術よりもさらにできる施設は少なくなります。大学病院と一部の専門病院を除くと設備的に実施することが困難で、特殊な麻酔の技術も必要となるため、ほとんど実施されておりません。当院にはトレーニングを受けた獣医師と優秀な麻酔科があるため、胸腔鏡実施が可能です。
今回は2時間程度の手術で、無事に腫瘍は摘出され、本人の状態もとても良かったため、翌日に帰宅となりました。術後のX線で腫瘍がきれいになくなっているのが分かると思います。胸腺腫は摘出が完全に実施されると比較的予後が良いと言われています。今回の手術でわんちゃんが元気で長生きできることを願っております
動物医療センター目黒中央
井口和人
住所:目黒区鷹番1-1-20
03-6412-8303
最寄駅:東横線 学芸大学


