※手術の写真を掲載しておりますので、
苦手な方はご注意ください。
今回は単純です。
骨折について。になります。人気の小型トイ犬種では元々骨が細く脆弱なため、高所からの飛び降りやドア開閉への挟まりなど思わぬタイミングで骨が折れます。
骨が折れたら、、人だと固定してギプスして、、というイメージが強いですね。
これは、折れているけど、ズレや痛みが少ない場合固定するだけで済むのです。
犬で骨が折れたらどうでしょうか?
まず痛みについてです。当然犬も痛いです!しかし我慢強い子はあんまり泣き叫んだりしないこともあります。ですが、四肢の骨折では「挙上」といって足が地面に接地できなくなります。またズレがひどいと明らかに曲がらない方向に骨が曲がったりします。これは痛いですよね。
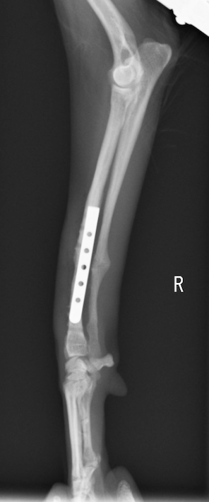
写真でも痛そうなX線の写真を出しております。この子は他の病院でバンテージと添木で治療を受けましたが、どんどんズレてしまった様です。しかし注意点として、犬の骨折に関してはバンテージのみで治ることはかなり稀です。内固定という手術をしないと骨は曲がってくっついてしまったり、結果歩くことが困難になります。骨折は若い小型犬にとても多く、万が一治療が上手くいかないと一生モノの傷になってしまうのです。

今回のワンちゃんも手術の決断をしてくださり、無事骨折した骨は、元通りのまっすぐな足の角度に治りました!
骨折の手術で大きな問題となるのは、癒合不全という、一見くっついているように見えるが、骨としての機能が損なわれてしまいずっと歩けないという状況です。不幸にも足を切らないといけないほどの状況まで行ってしまう子も中にはいるかもしれません。
当グループの骨折手術は初回手術(1回目の手術のこと)であれば100%治っております。他の病院で一度手術してから再手術の場合、すでに癒合不全が起こっていると当然手術は難しくなります。癒合不全の手術は1回で治らないこともあります。
それほどに1回目の手術がとても大事になります。当グループでは骨折の専門家がおり確実な手術を希望される方が、紹介されて来院しております。骨折をしてしまったら、、、是非当院へ相談いただければと思います。



